Tris-Tricine-SDS-PAGE凝膠快速制備及電泳試劑盒(含預染Marker) 
	Ver.750270-2.0 
	  
	
		
			
				| 
					 
						貨號 
					 
				 | 
				
					 
						名稱 
					 
				 | 
				
					 
						規格 
					 
				 | 
			
			
				| 
					 
						RTD6121 
					 
				 | 
				
					 
						Tris-Tricine-SDS-PAGE凝膠快速制備及電泳試劑盒(含預染Marker) 
					 
				 | 
				
					 
						10次 
					 
				 | 
			
		
	
 
	  
	● 產品組成: 
	
		
			
				| 
					 
						序號 
					 
				 | 
				
					 
						組分貨號 
					 
				 | 
				
					 
						名稱 
					 
				 | 
				
					 
						規格 
					 
				 | 
				
					 
						貯存 
					 
				 | 
			
			
				| 
					 
						1 
					 
				 | 
				
					 
						RTD6121-01 
					 
				 | 
				
					 
						2×PAA濃縮膠聚合溶液 
					 
				 | 
				
					 
						15 ml 
					 
				 | 
				
					 
						4℃ 
					 
				 | 
			
			
				| 
					 
						2 
					 
				 | 
				
					 
						RTD6121-02 
					 
				 | 
				
					 
						2×PAA分離膠聚合溶液 
					 
				 | 
				
					 
						30
  ml 
					 
				 | 
				
					 
						4℃ 
					 
				 | 
			
			
				| 
					 
						3 
					 
				 | 
				
					 
						RTD6121-03 
					 
				 | 
				
					 
						2×凝膠緩沖液 
					 
				 | 
				
					 
						40
  ml 
					 
				 | 
				
					 
						4℃ 
					 
				 | 
			
			
				| 
					 
						4 
					 
				 | 
				
					 
						RTD6148 
					 
				 | 
				
					 
						雙色預染超低分子量蛋白質Marker
  (1.5-42 kD) 
					 
				 | 
				
					 
						10次 
					 
				 | 
				
					 
						-20℃ 
					 
				 | 
			
			
				| 
					 
						5 
					 
				 | 
				
					 
						TP080-01 
					 
				 | 
				
					 
						2×Tricine多肽上樣緩沖液(變性,還原,含溴酚藍) 
					 
				 | 
				
					 
						1
  ml 
					 
				 | 
				
					 
						-20℃ 
					 
				 | 
			
			
				| 
					 
						6 
					 
				 | 
				
					 
						AP020P 
					 
				 | 
				
					 
						       10%
  APS(干粉) 
					 
				 | 
				
					 
						5 ml 
					 
				 | 
				
					 
						RT,配制后-20℃ 
					 
				 | 
			
			
				| 
					 
						7 
					 
				 | 
				
					 
						TA0761-01 
					 
				 | 
				
					 
						TEMED 
					 
				 | 
				
					 
						0.5 ml 
					 
				 | 
				
					 
						4℃,避光保存 
					 
				 | 
			
			
				| 
					 
						8 
					 
				 | 
				
					 
						CB010P 
					 
				 | 
				
					 
						10×Tris-Tricine-SDS緩沖液(變性電泳,粉末型) 
					 
				 | 
				
					 
						500
  ml 
					 
				 | 
				
					 
						RT,配制后4℃ 
					 
				 | 
			
			
				| 
					 
						9 
					 
				 | 
				
					 
						RTD6202-02 
					 
				 | 
				
					 
						FastBlue蛋白染色液 
					 
				 | 
				
					 
						500
  ml 
					 
				 | 
				
					 
						RT 
					 
				 | 
			
		
	
 
	● 產品簡介: 
	該產品含有多肽電泳全套試劑,可以用來檢測1-20
kD的多肽大小。本試劑盒可配制至少10塊常規大?。?×10cm),厚度1 mm的PAGE膠。該產品具有以下特點: 
	1. 分辨率高:凝膠緩沖液獨特配方,可以有效分離1-5 kD多肽; 
	2. 使用方便:制膠無需計算所需溶液量;無需制備三層凝膠(濃縮膠,夾層膠,分離膠); 
	3. 配套 Tris-Tricine-SDS緩沖液,無需區分陽極緩沖液和陰極緩沖液; 
	4. 試劑盒配套有預染蛋白Marker,方便檢測多肽大??; 
	5. 試劑盒配套有快速蛋白染色液,最快可以在30分鐘內完成染色過程,有效避免小肽從凝膠中游離。 
	● 貯存、運輸及效期: 
	按照標簽溫度貯存;濕冰運輸;有效期一年。 
	● 使用說明: 
	一. 制膠: 
	10%APS溶液配制: 
	10% APS為固體粉末,使用前加入5 ml雙蒸水溶解即配制成10% APS溶液,將溶液分裝后置于-20℃保存,通常一年內有效。該溶液在4℃條件下可以穩定保存兩周。若發現凝膠聚合時間延長,應考慮更換使用-20℃保存的10% APS溶液。 
	1.1 配制分離膠: 
	1.1.1按照表一將不同體積的成分加入到小燒杯中混合;立即混勻5-10秒,以使溶液充分混勻。                    
	表1 (一塊厚度1 mm 8×10cm凝膠膠用量)* 
	
		
			
				| 
					 
						  
					 
				 | 
				
					 
						分離膠 
					 
				 | 
				
					 
						濃縮膠 
					 
				 | 
			
			
				| 
					 
						  
					 
				 | 
				
					 
						18%T5C
  /5 ml 
					 
				 | 
				
					 
						4%T
  2.6C/1.5 ml 
					 
				 | 
			
			
				| 
					 
						2×凝膠緩沖液 
					 
				 | 
				
					 
						2.5 ml 
					 
				 | 
				
					 
						0.75 ml 
					 
				 | 
			
			
				| 
					 
						2×PAA濃縮膠聚合溶液 
					 
				 | 
				
					 
						/ 
					 
				 | 
				
					 
						0.75 ml 
					 
				 | 
			
			
				| 
					 
						2×PAA分離膠聚合溶液 
					 
				 | 
				
					 
						2.5 ml 
					 
				 | 
				
					 
						/ 
					 
				 | 
			
			
				| 
					 
						10%APS 
					 
				 | 
				
					 
						~50 μl 
					 
				 | 
				
					 
						~15 μl 
					 
				 | 
			
			
				| 
					 
						TEMED 
					 
				 | 
				
					 
						~5 μl 
					 
				 | 
				
					 
						~1.5 μl 
					 
				 | 
			
		
	
 
	注: * 如非必須,不要使用厚度1.5 mm的凝膠,盡量使用厚度1 mm的凝膠,這樣會減少電泳后染色和脫色的時間。 
	1.1.2 在玻璃板中迅速灌入適量分離膠溶液,使液面和短玻璃板上沿之間的距離比梳齒長0.5
cm即可。注:此溶液為過量,請勿全部注入。 
	1.1.3
然后在分離膠溶液上輕輕覆蓋一層1-2 cm的無水乙醇層,使凝膠表面保持平整。 
	1.1.4 靜置10-30分鐘,待分離膠和乙醇層之間出現一個清晰的界面表示凝膠已聚合。 
	注:凝膠的聚合時間與環境溫度有關。夏天溫度較高時,聚合較快;冬天氣溫低時,聚合時間會延長??梢愿鶕?的標準條件調節促凝劑的加入量。分離膠在25℃條件下,約20分鐘可以聚合。 
	1.2 配制濃縮膠: 
	去除覆蓋在分離膠上的乙醇層,用濾紙將殘留的乙醇吸去。 
	1.2.1 按照表一將不同成分加入到小燒杯中混合;立即混勻5-10秒,以使溶液充分混勻。 
	1.2.2 將梳子插入凝膠內,避免產生氣泡。 
	1.2.3 靜置30-50分鐘待凝膠聚合。 
	注:凝膠的聚合時間與環境溫度有關。夏天溫度較高時,聚合較快;冬天氣溫低時,聚合時間會延長??梢愿鶕?的標準條件調節促凝劑的加入量。濃縮膠在25℃條件下,約40分鐘可以聚合。 
	二. 電泳: 
	2.1 變性電泳緩沖液和樣品配制: 
	2.1.1 10×Tris-Tricine-
SDS緩沖液配制: 
	將10×Tris-Tricine-SDS緩沖液(10×TTS)粉末(Cat:CB010P)置于一干凈的燒杯中,加入500 ml超純水,徹底攪拌混勻,不要調節pH,即配成500 ml 10×緩沖液。超純水稀釋10倍配成1×Tris-Tricine-SDS緩沖液。 
	2.1.2 變性樣品處理: 
	 
      待上樣的檢測樣品與2×Tricine上樣緩沖液(變性,還原,含溴酚藍)[Cat No:TP080]等體積混合,95℃處理5分鐘后上樣。蛋白Marker一般已經含有上樣緩沖液,根據說明書上樣(預染Marker不能加熱處理,非預染Marker上樣前一般要95℃處理5分鐘)。試劑盒配套的預染Marker(Cat:RTD6148)不要加熱處理,溶化混勻后直接上樣,1 mm厚度10齒梳子建議上樣3-5 μl。 
	2.2 電泳: 
	將電泳槽的內槽加滿電泳緩沖液,輕柔拔出梳子,用1 ml移液器將梳孔吹洗干凈,將Marker或蛋白樣品加入點樣孔,穩壓電泳(表2),至溴酚藍指示前沿至分離膠下沿位置時即可停止電泳。整個電泳過程大約需要2.5-3個小時。 
	表2 多肽電泳條件(單板電泳) 
	
		
			
				| 
					 
						  
					 
				 | 
				
					 
						電壓 
					 
				 | 
				
					 
						電流變化 
					 
				 | 
				
					 
						電泳時間 
					 
				 | 
			
			
				| 
					 
						濃縮膠 
					 
				 | 
				
					 
						恒壓80 V 
					 
				 | 
				
					 
						起始電流:30-35 mA 
					 
					
						終止電流:25-30 mA 
					 
				 | 
				
					 
						~20
  min 
					 
				 | 
			
			
				| 
					 
						  
					 
				 | 
				
					 
						  
					 
				 | 
				
					 
						注:等待樣品指示前沿到達分離膠上沿時,調高電壓 
					 
				 | 
				
					 
						  
					 
				 | 
			
			
				| 
					 
						分離膠 
					 
				 | 
				
					 
						恒壓120 V 
					 
				 | 
				
					 
						起始電流:40-45 mA 
					 
					
						終止電流:15-20 mA 
					 
				 | 
				
					 
						~200
  min 
					 
				 | 
			
			
				| 
					 
						  
					 
				 | 
				
					 
						  
					 
				 | 
				
					 
						注:恒壓條件下,電流不可調節,電流是逐漸降低的,觀察記錄電流數值。 
					 
				 | 
				
					 
						  
					 
				 | 
			
		
	
 
	三. 染色: 
	3.1將電泳后的PAGE膠取下放入塑料容器中,用適量蒸餾水漂洗,去除膠表面的SDS,殘余SDS會導致染色液出現沉淀。 
	3.2 棄蒸餾水,加入適量染色液(以剛剛覆蓋過膠面為適),搖床上常溫搖動,根據下表確定染色時間。 
	
		
			
				| 
					 
						待檢測蛋白量 
					 
				 | 
				
					 
						染色時間 
					 
				 | 
			
			
				| 
					 
						>1 μg 
					 
				 | 
				
					 
						~5分鐘 
					 
				 | 
			
			
				| 
					 
						100 ng-1
  μg 
					 
				 | 
				
					 
						~10分鐘 
					 
				 | 
			
			
				| 
					 
						10 ng-100
  ng 
					 
				 | 
				
					 
						~60分鐘 
					 
				 | 
			
		
	
 
	3. 3 搖床上搖動至所有條帶清晰可見。 
	3. 4 蒸餾水搖動漂洗脫色1-2次,每次5-10分鐘,至凝膠背景干凈。 
	3. 5 收集用過的染色液,可以重復使用2-3次。 
	凝膠也可以使用常規考馬斯亮藍染色液和脫色液進行染色和觀察。需要注意的是,常規染色和脫色方法需要較長時間,小肽由于長度較短,和凝膠結合不緊密,長時間在溶液中浸泡容易從凝膠中脫離。FastBlue蛋白染色液除具有染色快,無毒,靈敏性高等特點外,還能對小肽在染色中起到固定作用,不至于小肽在染色和脫色中從凝膠中脫離,是常規染色液的理想替代品。 
	四. 轉膜: 
	多肽轉膜選擇孔徑0.22
μm PVDF膜(用前用甲醇處理潤濕)或0.22 μm NC膜。 
	4.1 半干轉: 
	使用伯樂Trans-Blot Turbo半干轉機器請選擇配套的5×RealBlot快速半干轉轉膜緩沖液(貨號:RT5030)。轉膜推薦條件:一板小型凝膠(8×10
cm)恒流,1.3 A,7-10 min。 
	4.2 濕轉: 
	濕轉轉膜緩沖液(25 mM Tris,192 mM Glycine, 0.01%SDS,20%
Methanol,pH~8.3),可以選擇10×Tris-甘氨酸轉膜緩沖液(濕轉,溶液型)(貨號:TB1040)。轉膜條件:恒流200
mA  40-60 min。 
 
	
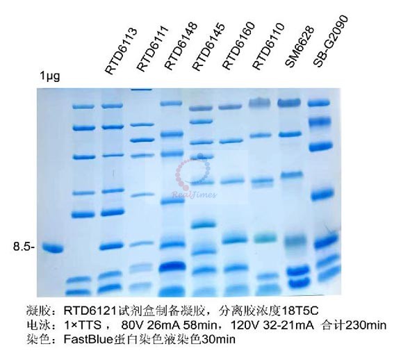
	五. 實驗示例: 
	 
 
	
 
	 
	多肽電泳配套試劑