Anti-His抗體(鼠單抗)
	Anti-His Antibody(Monoclonal Antibody from Mouse)
	
		
			
				| 
					 
						產品編號 
					 
				 | 
				
					 
						產品名稱 
					 
				 | 
				
					 
						規格 
					 
				 | 
			
			
				| 
					 
						RGH2030 
					 
				 | 
				
					 
						Anti-His抗體(鼠單抗) 
					 
				 | 
				
					 
						20 μl 
					 
				 | 
			
		
	
 
	● 產品簡介 
	為了提高重組蛋白表達量、可溶性并方便其純化, 各種蛋白標簽通常被添加在重組蛋白的N 端、C 端或內部。組氨酸標簽(6×His Tag )是最常用的蛋白標簽之一, 它通常由連續 6 個組氨酸組成。因其與二價金屬離子,尤其是鎳離子親和力較高,故多采用鎳瓊脂糖介質純化。6×His 單克隆抗體可用于 6×His標簽蛋白檢測以判斷其表達及純化情況。
	
		
			
				| 
					 
						來源 
					 
				 | 
				
					 
						用途及稀釋比例 
					 
				 | 
				
					 
						抗體類型 
					 
				 | 
			
			
				| 
					 
						Mouse 
					 
				 | 
				
					 
						WB 1:2000-5000 
					 
					
						IHC 1:200-1000 
					 
					
						IF 1:200-1000 
					 
				 | 
				
					 
						單克隆抗體 
					 
				 | 
			
		
	
 
	注:WB, Western
blot; IP, Immunoprecipitation; IF, Immunofluorescence
	本抗體如果用于常規的Western檢測,至少可以檢測20次。
	● 貯存形式: 
	穩定溶液,~1 mg/ml抗體溶于PBS,50%甘油,pH7.2。
	● 保存、效期及運輸條件: 
	-20℃保存,一年有效;避免反復凍融;濕冰運輸。 
	● 使用說明: 
	1. Western Blot雜交(ECL顯色):1:2000-10000稀釋,常溫孵育1-2 h或4℃過夜。
	2. 免疫熒光(IF)和免疫組化(IHC):1:200-1000稀釋。
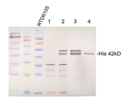
	● 實驗示例:
	
	
	凝膠:12%T3.3C Tris-Glycine gel 恒壓150V 37-12 mA 56min
	轉膜:1×半干轉buffer(含SDS)+20%甲醇 恒流400 mA
25 min
	封閉:BSA封閉(貨號:WB1070)
	一抗:Anti-His抗體(鼠單抗),1:5000(貨號:RGH2030);
	二抗:AP標記羊抗兔IgG, 1:5000(貨號:AGR1030)
	顯色:BCIP/NBT顯色(貨號:BN1026)